そんな方の為の歯科医院です
各専門分野のDrも在籍し、早く美しく仕上げることに特化しております
忙しく何度も
歯医者に通えない
歯医者に通っていたが
何回も通院することが
嫌になった
子どもがいるため、
何度も通うのが難しい
歯医者が苦手なため
早く治療を終わらせたい
全ての歯を診てもらって
悪いところはすぐに
治してもらいたい
現在治療中だが、
終わりが見えなくて
不安
遠方から来ている、
海外にいる、
行く予定のため
時間的負担を減らしたい
結婚式や
イベントがあるため、
それまでに終わらせたい
そんなお悩みの方には
短期集中治療がおススメです!
お支払い方法は各種お選びいただけます。


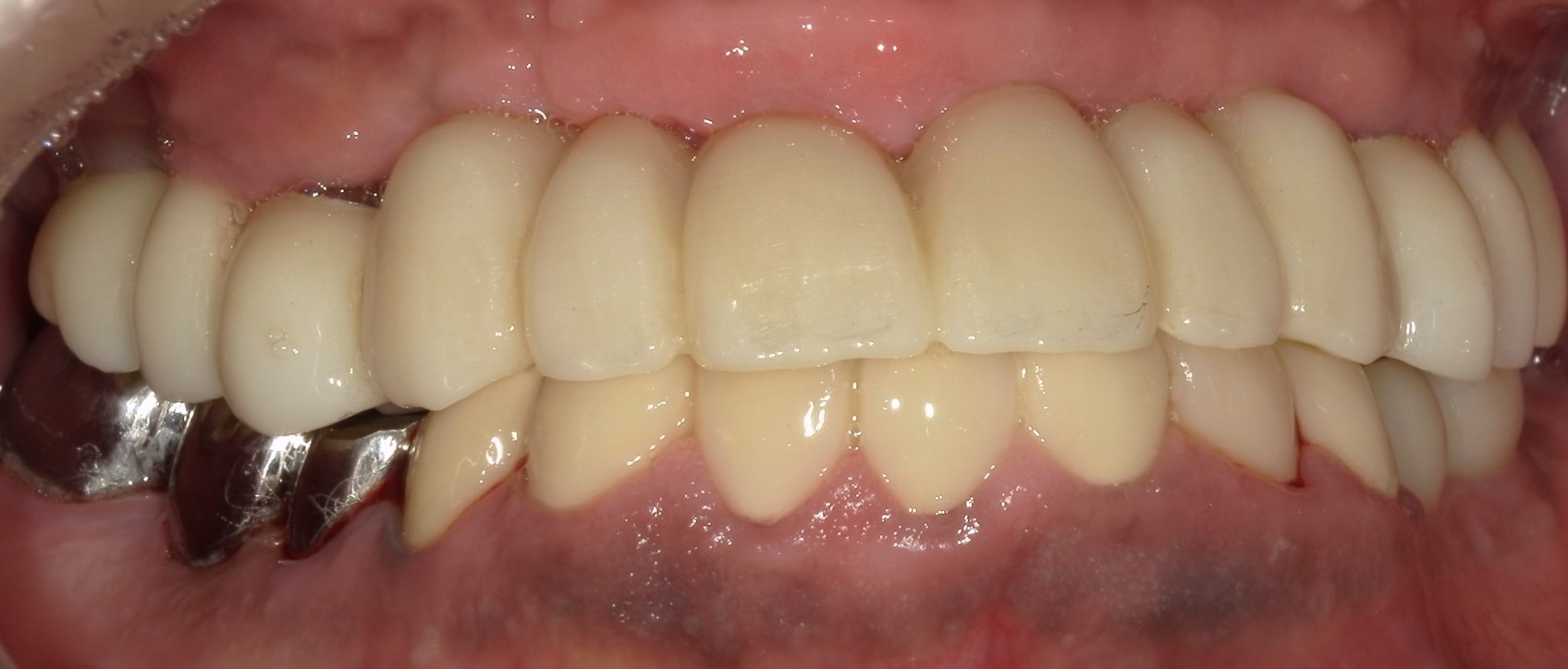
すきっ歯の治療の為、前歯部にセラミックを12本入れたケース
総額:1,584,000円
内訳:セラミッククラウン12本×132,000円
上記を最大84回の分割にした場合
月々:22,000円(実質年率4.5%)


治療を進めるにあたり歯科医師と患者さんの信頼(TRUST)関係が大切だと思っています。そのために丁寧なカウンセリングと正しく正確な検査のうえ適切な治療方法をご提案しています。ただ治療するだけでなく原因までを追究した包括的な治療で再発のない短期集中で終わらす治療を行っています。当院の短期集中治療で治療完了であるゴールまでをしっかりサポートさせていただきます。リラックスできる雰囲気のある当院で一度お口のご相談をしていただければと思います。
TRUST DENTAL CLINIC 大門・浜松町
院長松本康佑