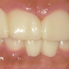
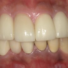
咬めるところがなく諦めていたが治るのであれば治療したい Before A…
部下をなんとかしてあげてと上司の方のご紹介でご来院 咬むところがなく食事…
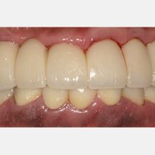
歯がボロボロで食事が出来ないので治したい Before After 治療…
すきっ歯 Before After 治療期間:2.5ヶ月 来院回数:7回…
「全体的にボロボロなのでインプラントをやりたい」 Before Afte…
「全体的にボロボロなので、全てを綺麗に治したい」 →全顎的な咬合障害、審…
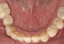
「歯がボロボロになってしまいどうすればいいかわからない」 →臼歯(奥歯)…
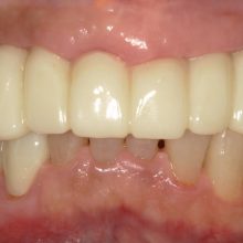
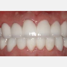
「入れ歯を使っていたが、痛くて咬めなくなったため、現在は何も入れていない…
「入れた被せものの色が気になる 過去銀歯による治療を受けてきたが、再発を…
「歯医者の通院を途中で辞めてしまい、仮歯のままになっている。」 →左下奥…