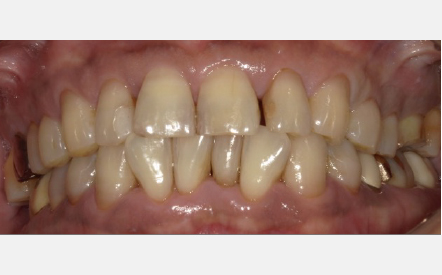
「前歯が隙間があって発音しにくい」
→前歯部不正咬合による発音障害。象牙質に及ぶカリエス(虫歯)
Before

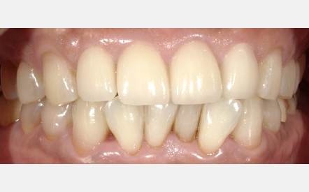
After

50代男性 治療期間:1か月 費用:79万円 (税込)
■ 治療計画
上顎前歯部ジルコニアセラミックによる修復。
■ 経過
上顎前歯のカリエス(虫歯)を除去。仮歯を装着し、発音障害が改善されたかどうかを確認し、ジルコニアセラミックにより修復。
現在、咬合、機能、審美ともに全く問題なく経過しています。
