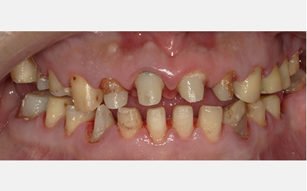
「全体的にボロボロなので、全てを綺麗に治したい」
→全顎的な咬合障害、審美上も問題あり。
Before

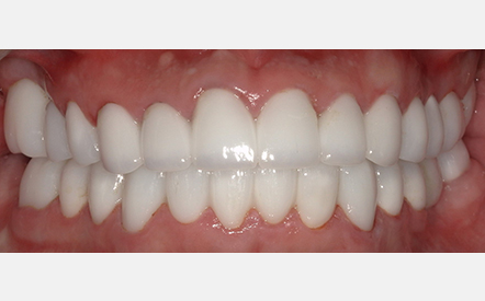
After

40代男性
治療期間:1年
治療期間:1年
費用
| 内容 | 金額(税込) |
|---|---|
| CTシミュレーション | ¥22,000/1回 |
| サージカルガイド | ¥55,000/1回 |
| アバットメント | ¥55,000/1本 |
| インプラント | ¥275,000/1本 |
| 上部ジルコニア | ¥154,000/1本 |
| ジルコニアクラウン | ¥154,000/1本 |
■ 治療計画
全顎的に、ジルコニアによる補綴治療とインプラント治療を行った
■ 経過
インプラント埋入後、仮歯を使って、咬み合わせの高さや前歯の長さなどを何度か調整して、日常生活を送っていただいた。機能上、審美状も問題のないことを確認して、型取りを行い、ジルコニアによる修復を行った。現在、咬合、機能、審美ともに全く問題なく経過しています。
