「入れた被せものの色が気になる 過去銀歯による治療を受けてきたが、再発を繰り返している。
見た目も気になるのでしっかり治したい」
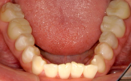
→全顎的に補綴物の不適多数。多数歯に2次カリエス(虫歯)。咬合も不正。
Before

After

Before

After

30代女性 治療期間:2か月半 費用:168万円 (税込)
■ 治療計画
全顎的に不良補綴物(被せもの)を除去し、ジルコニアにて補綴物を新製。
■ 経過
全顎的に不良補綴物を外し、カリエス(虫歯)を除去。中心位(顎関節による決定する顎位)にて咬合採得を行い、ジルコニアにて修復を行いました。現在、咬合、機能、審美、ともに全く問題なく経過しています。
