咬めるところがなく諦めていたが治るのであれば治療したい
Before

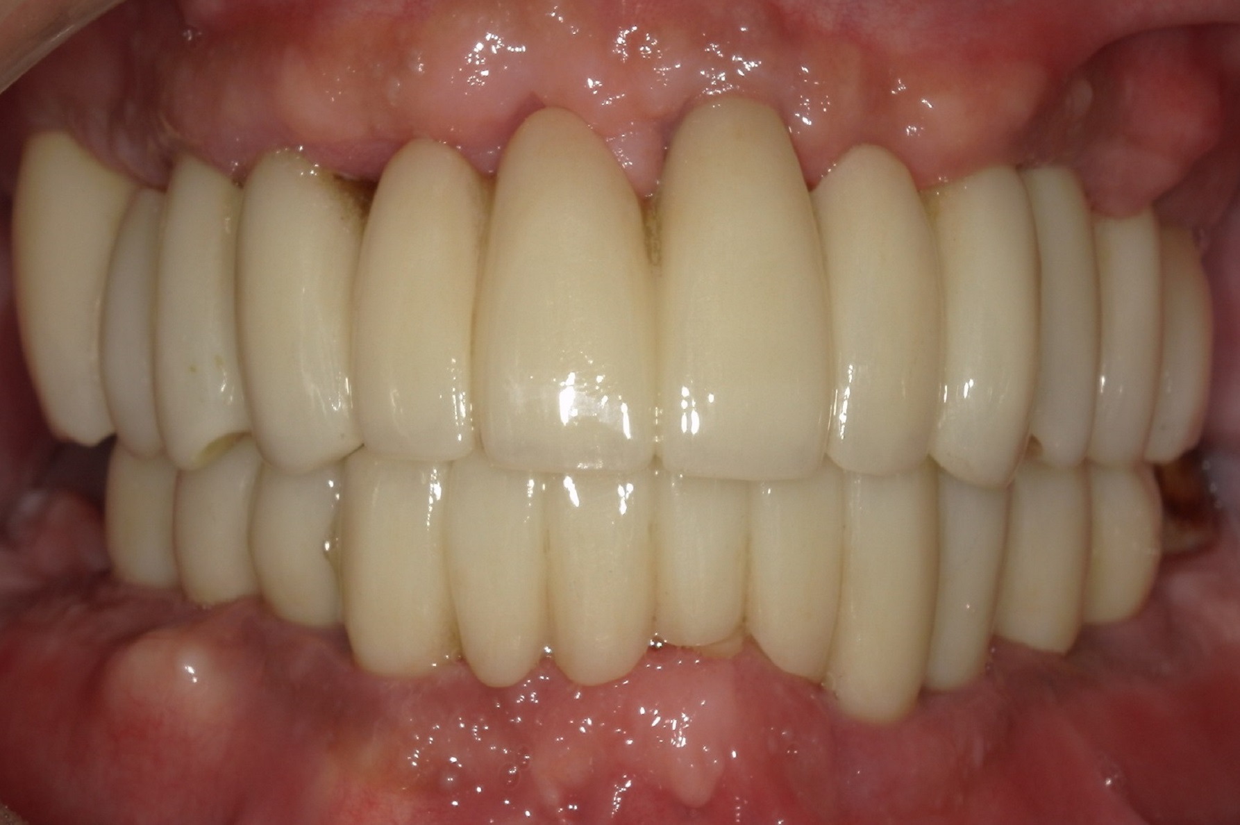
After

治療期間:1年
来院回数:13回
来院回数:13回
費用
| 内容 | 金額(税込) |
|---|---|
| CTシミュレーション | ¥22,000/1回 |
| サージカルガイド | ¥55,000/1回 |
| アバットメント | ¥55,000/1本 |
| インプラント | ¥275,000/1本 |
| 上部ジルコニア | ¥154,000/1本 |
■ 治療内容
・全く咬める位置がなく、また残せる歯もなかった
・とりあえず抜歯予定の歯を利用し咬み合わせを作り、インプラントを上顎7本、下顎6本埋入 (2日に分けて)
・治療後は夢のようだと言っていただけた
・とりあえず抜歯予定の歯を利用し咬み合わせを作り、インプラントを上顎7本、下顎6本埋入 (2日に分けて)
・治療後は夢のようだと言っていただけた
■リスクと副作用
インプラント周囲炎
