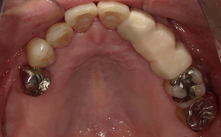
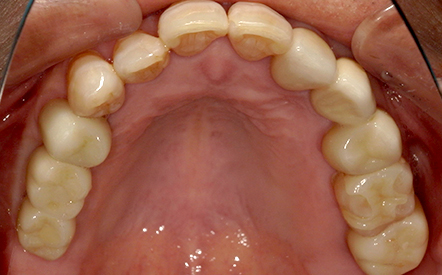
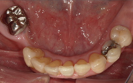
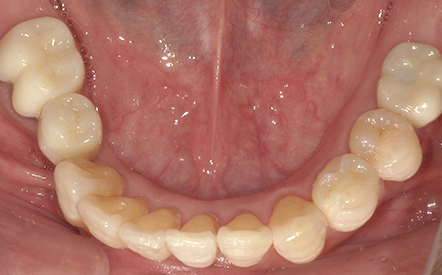
「入れ歯を使っていたが、痛くて咬めなくなったため、現在は何も入れていないので、どうにかしたい
銀歯もしっかりとしたものに交換して欲しい」
→多数歯欠損による咬合機能障害。
Before

After

Before

After

60代男性 治療期間:6ヶ月 費用:280万円 (税込)
■ 治療計画
インプラントを4本埋入、銀歯の部分はジルコニアにて、修復
■ 経過
咬む位置も安定していなかったため、まずは入れ歯を使って、咬合の安定を図りインプラントを入れる位置を決定した。インプラントを4本埋入後、仮歯を用いて、咬合、機能、審美上も問題がないことを確認し、ジルコニアにて修復。患者様には歯があったときと同じ様に咬めるようになったと大変喜んでいただいている。
