「歯医者の通院を途中で辞めてしまい、仮歯のままになっている。」
→左下奥歯はなくなり、咬合障害。仮歯の中も重度の虫歯が広がっていた。
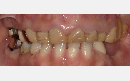
Before

After

40代女性 治療期間:3か月 費用:104.5万円 (税込)
■ 治療計画
ブリッジ不可能な左下にインプラント2本埋入。奥歯の咬合を安定させ、ブリッジ可能な部位に関しては、保険診療にてブリッジで対応。
■ 経過
まず左下にインプラントを2本埋入し、インプラントと骨が結合する期間を利用し、前歯の虫歯を除去。
仮歯を作製し、全体的に咬合が安定したのを確認し、型取りを行った。
現在、機能上、審美上も全く問題なく推移し、患者様にも大変満足頂いている。
