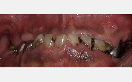
「歯がボロボロになってしまいどうすればいいかわからない」
→臼歯(奥歯)を失ってしまっているため、咬合崩壊をきたしている
Before

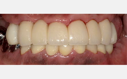
After

40 代男性 治療期間:6か月(治療途中) 費用:295万円(税込)
■ 治療計画
奥歯には合計6本のインプラントを埋入し、咬合の安定を図り、前歯も補綴(被せもの)を連結することで可及的に天然歯を保存。
右下はブリッジでの修復(費用の関係もあり)。
■ 経過
まずは仮歯を装着し、咬合の回復を図り、その後、保存可能な歯と抜歯が必要な歯を慎重に診断。並行してインプラント治療(6本同日)。
現在はインプラント上に仮歯を装着し、臼歯(奥歯)を安定させ、インプラントが骨とインテグレーション(結合)する期間を利用し、前歯の治療を行っています。
