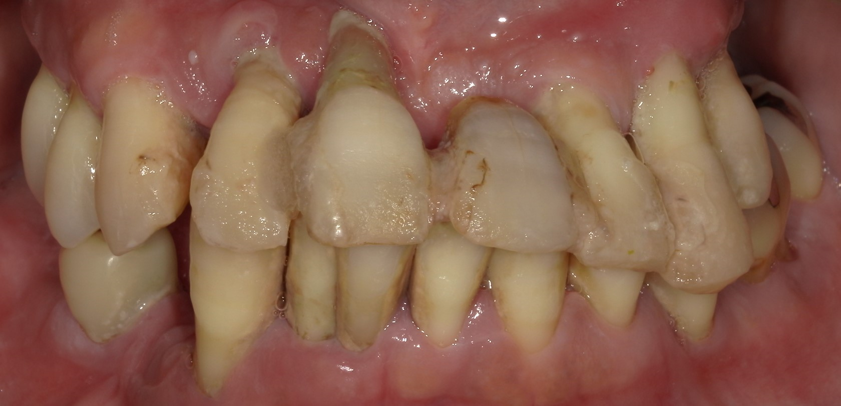
全体的に歯周病でグラグラ 短期集中治療希望
2025.12.13
当院のブログをご覧いただきありがとうございます。
50代 男性
全体的に歯周病でグラグラしている

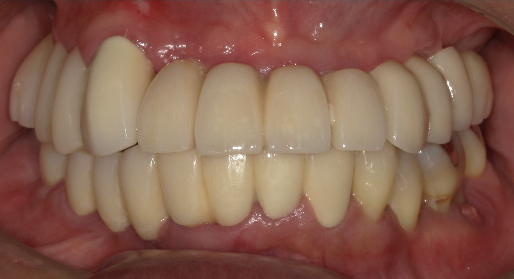
まずは抜歯が必要な歯を抜歯し、残せそうな歯には歯周病治療を行った
抜歯した部位はとりあえず仮歯を装着して、過ごしていただいた
途中、仮歯が取れるなど大変なこともあったとは思いますが、しっかりと通院いただいたので、
完了させることができた

今後のメンテナンスは必須であるが、現状できる最善はつくせたかと思う
症例写真の掲載を快くご了承いただいた患者様に心より感謝いたします

